Prostodoncia

Es la rama de la odontología que se encarga de devolver la función, anatomía, fonación y estética alteradas del aparato estomatognático como consecuencia de la pérdida de uno o más dientes, mediante prótesis fijas y removibles.



Prótesis en Valplast


Prótesis sobre implantes


Prótesis sobre implantes de bola


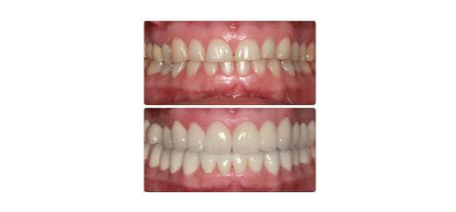
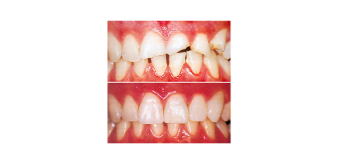
Carillas o coronas


Puentes Fijos


Coronas de Zirconio


Prótesis Totales en Acrílico


Prótesis Parciales en Acrílico


Prótesis Parciales Metal-Acrílicas




Contacto








Dentifamily todos los derechos reservados - by creativaweb.cl